【健康科普】肝脏特异性对比剂究竟如何“特异”?
时间:2024年01月08日 点击次数:2802
顾韵泽
“大夫,我做了肝脏增强CT,也做了肝脏MR,为什么还要我做肝脏特异性对比剂增强?”,临床工作中会遇到患者及临床医生提出这样的疑问,那么什么是肝脏特异性对比剂?它有什么“特异”的检查功能?
肝脏是人体最大的实质性脏器及消化腺,也是身体里最强大、功能最多的器官。当发现肝脏病变,判定其良恶性是临床治疗的关键。肝脏有肝动脉及门静脉双重供血,绝大部分病变运用团注对比剂的增强CT或MR扫描,通过观察病变的灌注特征可以判断出病变的大致性质,从而引导临床治疗。但有些病变灌注征象不突出,良恶性间存在着交叉,使诊断进入困境。
临床MR增强最常使用的对比剂为钆类对比剂,大多都是经过肾脏代谢,肝特异性对比剂可以经过肾脏及肝脏双重排谢(图1),例如:钆贝葡胺(Gd-BOPTA)、钆塞酸二钠(Gd-EOB-DTPA)在延迟后肝胆期部分被正常肝细胞吸收从胆道代谢,从而使正常肝细胞和胆道延迟强化,这个特性有助于我们对良恶性病变的判定。具有这样能部分被肝细胞吸收的对比剂就是我们所说的肝脏特异性对比剂。那么它在临床工作中又起到什么样的作用啦?我们来看看实际病例中的运用。
(图1)
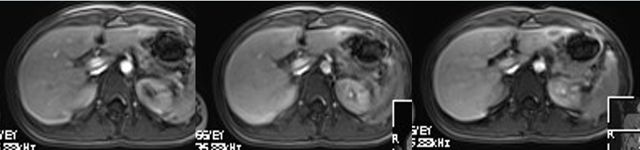
例一:识别肝局灶性结节性增生(FNH)。
MRI表现(图2):T1WI等或稍低信号,T2WI呈等或稍高信号,中心纤维瘢痕呈高信号。增强扫描(图3)动脉期明显强化,门脉期强化程度逐渐下降,“瘢痕”则表现为延迟强化;
肝细胞期则为高摄取(具有诊断价值的特征性表现),“瘢痕”则为相对低摄取区(图4)。
(图2)
(图3)
(图4)
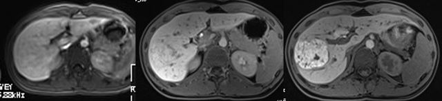
例二:识别肝硬化背景下肝细胞癌(HCC)
HCC发病与乙型、丙型肝炎和肝硬化密切相关,特征较为特殊,是连续性病变,结节样病灶(RN、DN)至癌变过程中可分为多个步骤。
由于 HCC 中多不具备有正常功能的肝细胞,因此,在肝胆特异期,病灶较周围肝实质而言,呈明显低信号,但是经研究报道,少部分 HCC会吸收一定量的对比剂,在肝胆特异期呈等、稍高信号,其证实与HCC 的病理分级有关。
除以上例举病例外,还有其他病变在肝胆期呈现特异表现,如:肝脏炎性假瘤呈等和稍低信号;再生结节、不典型增生、肝细胞肝癌呈等、稍低和明显低信号;肝囊肿、胆管细胞癌、肝脏转移性肿瘤、肝细胞腺瘤、肝血管瘤等均呈相对低信号等等。
肝细胞特异性对比剂具有独特的肝胆期成像,可鉴别诊断RN、HGDN、eHCC和pHCC。能提供更多的病灶特征信息,提高肝脏占位性病灶诊断的敏感性和特异度,做到肝脏良恶性病灶的鉴别诊断,具有很高的临床应用价值。尤其是针对小于2cm的病灶,有助于鉴别肝硬化再生结节、早期肝癌。
“大夫,我做了肝脏增强CT,也做了肝脏MR,为什么还要我做肝脏特异性对比剂增强?”,临床工作中会遇到患者及临床医生提出这样的疑问,那么什么是肝脏特异性对比剂?它有什么“特异”的检查功能?
肝脏是人体最大的实质性脏器及消化腺,也是身体里最强大、功能最多的器官。当发现肝脏病变,判定其良恶性是临床治疗的关键。肝脏有肝动脉及门静脉双重供血,绝大部分病变运用团注对比剂的增强CT或MR扫描,通过观察病变的灌注特征可以判断出病变的大致性质,从而引导临床治疗。但有些病变灌注征象不突出,良恶性间存在着交叉,使诊断进入困境。
临床MR增强最常使用的对比剂为钆类对比剂,大多都是经过肾脏代谢,肝特异性对比剂可以经过肾脏及肝脏双重排谢(图1),例如:钆贝葡胺(Gd-BOPTA)、钆塞酸二钠(Gd-EOB-DTPA)在延迟后肝胆期部分被正常肝细胞吸收从胆道代谢,从而使正常肝细胞和胆道延迟强化,这个特性有助于我们对良恶性病变的判定。具有这样能部分被肝细胞吸收的对比剂就是我们所说的肝脏特异性对比剂。那么它在临床工作中又起到什么样的作用啦?我们来看看实际病例中的运用。

例一:识别肝局灶性结节性增生(FNH)。
MRI表现(图2):T1WI等或稍低信号,T2WI呈等或稍高信号,中心纤维瘢痕呈高信号。增强扫描(图3)动脉期明显强化,门脉期强化程度逐渐下降,“瘢痕”则表现为延迟强化;
肝细胞期则为高摄取(具有诊断价值的特征性表现),“瘢痕”则为相对低摄取区(图4)。



例二:识别肝硬化背景下肝细胞癌(HCC)
HCC发病与乙型、丙型肝炎和肝硬化密切相关,特征较为特殊,是连续性病变,结节样病灶(RN、DN)至癌变过程中可分为多个步骤。
由于 HCC 中多不具备有正常功能的肝细胞,因此,在肝胆特异期,病灶较周围肝实质而言,呈明显低信号,但是经研究报道,少部分 HCC会吸收一定量的对比剂,在肝胆特异期呈等、稍高信号,其证实与HCC 的病理分级有关。

除以上例举病例外,还有其他病变在肝胆期呈现特异表现,如:肝脏炎性假瘤呈等和稍低信号;再生结节、不典型增生、肝细胞肝癌呈等、稍低和明显低信号;肝囊肿、胆管细胞癌、肝脏转移性肿瘤、肝细胞腺瘤、肝血管瘤等均呈相对低信号等等。
肝细胞特异性对比剂具有独特的肝胆期成像,可鉴别诊断RN、HGDN、eHCC和pHCC。能提供更多的病灶特征信息,提高肝脏占位性病灶诊断的敏感性和特异度,做到肝脏良恶性病灶的鉴别诊断,具有很高的临床应用价值。尤其是针对小于2cm的病灶,有助于鉴别肝硬化再生结节、早期肝癌。