【健康科普】谈“结”不色变
时间:2024年05月15日 点击次数:516
杨柳
近些年,随着人们健康意识逐渐增强,健康体检越来越被重视,加上薄层CT的普及,发现肺部小结节和磨玻璃影的患者越来越多!体检查出肺结节,给很多患者和家属带来了很多焦虑和紧张!那么到底什么是肺结节?肺结节离肺癌有多远?该怎么治?一定要手术吗?今天我们就一起来了解一下肺结节,重视但不恐慌,科学看待,正确处理,解除不必要的焦虑。
什么是肺结节?
肺部结节通常是指肺内直径小于或等于3cm的类圆形密度增高影,可单发或多发,可以由许多原因引起,包括细菌感染、真菌感染、结核、肉芽肿等,也有一部分肺结节是肿瘤或癌前病变。虽然肺结节不等于肺癌,但是要判断它的性质也不容易。
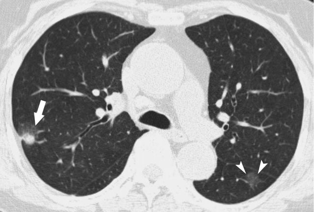
箭头所指示为磨玻璃结节
箭头所指为部分实性结节
近些年,随着人们健康意识逐渐增强,健康体检越来越被重视,加上薄层CT的普及,发现肺部小结节和磨玻璃影的患者越来越多!体检查出肺结节,给很多患者和家属带来了很多焦虑和紧张!那么到底什么是肺结节?肺结节离肺癌有多远?该怎么治?一定要手术吗?今天我们就一起来了解一下肺结节,重视但不恐慌,科学看待,正确处理,解除不必要的焦虑。
什么是肺结节?
肺部结节通常是指肺内直径小于或等于3cm的类圆形密度增高影,可单发或多发,可以由许多原因引起,包括细菌感染、真菌感染、结核、肉芽肿等,也有一部分肺结节是肿瘤或癌前病变。虽然肺结节不等于肺癌,但是要判断它的性质也不容易。
箭头所指示为磨玻璃结节
箭头所指为部分实性结节