【健康科普】浅谈原位癌
时间:2023年10月16日 点击次数:1870
王全志
提起癌症,人们总是充满了恐惧。因为它们往往预示着不好的结局甚至是死亡。但医学上有这么一类病变,虽然名字也含有“癌”字,但却与老百姓通常所认为的“癌症”不同——它就是原位癌。
那么什么是原位癌呢?其实这涉及到病理学复杂的肿瘤命名问题。简单地讲,原位癌其实是最早期的癌。它们是病理医师在显微镜下通过病理切片才能确诊一类病变。虽然各个系统的原位癌病理诊断标准不尽相同,但都有一个共同特点——“原位”。顾名思义,也就是病变细胞局限在原来上皮层或腺体的局部部位,没有突破基底膜及没有扩散(浸润)现象。如果出现了局部扩散那就变成为浸润癌了。
原位癌可以发生在我们人体的各个系统,比如:皮肤、口腔、食管、宫颈、等。由于这些部位多被覆的是复层鳞状上皮,所以上述部位的原位癌被称鳞状上皮原位癌。
与上述鳞状上皮原位癌不同,有些原位癌起源于腺上皮。如发生在乳腺的原位癌称导管原位癌或小叶原位癌。发生在肺的原位癌称肺原位腺癌等等。
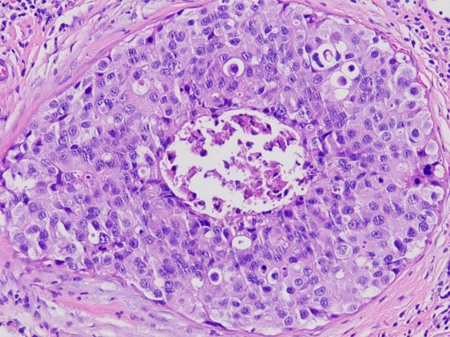
发生于乳腺的高级别导管原位癌
发生在食管鳞状细胞原位癌
原位癌相对于浸润癌来讲,预后非常好,一般没有转移风险。这也是为什么很多“重疾保险”将原位癌剔除的原因所在。原位癌的临床处理一般局部扩大切除或剥离就行了,也不需要进一步化疗。
所以,原位癌其实并不可怕,关键要及时就医处理,避免进一步进展为浸润癌。
提起癌症,人们总是充满了恐惧。因为它们往往预示着不好的结局甚至是死亡。但医学上有这么一类病变,虽然名字也含有“癌”字,但却与老百姓通常所认为的“癌症”不同——它就是原位癌。

原位癌可以发生在我们人体的各个系统,比如:皮肤、口腔、食管、宫颈、等。由于这些部位多被覆的是复层鳞状上皮,所以上述部位的原位癌被称鳞状上皮原位癌。
与上述鳞状上皮原位癌不同,有些原位癌起源于腺上皮。如发生在乳腺的原位癌称导管原位癌或小叶原位癌。发生在肺的原位癌称肺原位腺癌等等。
发生于乳腺的高级别导管原位癌
发生在食管鳞状细胞原位癌
原位癌相对于浸润癌来讲,预后非常好,一般没有转移风险。这也是为什么很多“重疾保险”将原位癌剔除的原因所在。原位癌的临床处理一般局部扩大切除或剥离就行了,也不需要进一步化疗。
所以,原位癌其实并不可怕,关键要及时就医处理,避免进一步进展为浸润癌。